Harald Loquenz

3.7.1949

   

Übersicht

   

Ich

   

Wandern Tourenski Mountainbike

   

Reise Welt

   

African / Orient Instruments

   

JALIYA: kora-music.com

   

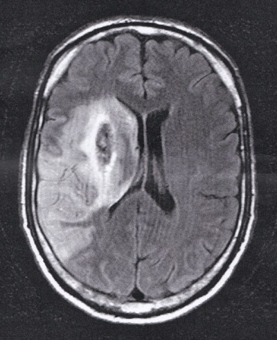
TIA - STROKE - Schlaganfall

   

JALIYA: Africa Music Gallery

   

Salzburg Dult

   

Unfall

   

Ich   

   
Rennweg, Lieserbach, Såg, Mühl, Eva, Harald   
   
Rennweg, Sågmoasta
   
St.Peter, Platzl, links vier
   
St.Peter, Wolfbåch, Jaga Norbert, Harald   
   
Stern-Singer (black Kora)
   
Klagenfurt, Musisches Gymnasium, Gitarre
   
Algerien, Tamanrasset (Tuareg)
   
Katschberg, A10-Tunnel, Kiruna-Truck
   
Salzburg- u. Wechselkurs Bank, Programmierer
   
Familie Pölla, Eva Norbert Harald Berni Evi
   
Salzburg, Schoellerbank, Progammierer
   

[zurück zur Übersicht]

Wandern Tourenski Mountainbike

   

Rennweg Wandern

Rennweg Tourenski

Rennweg Mountainbike

Kärnten/Salzburg/Steiermark

Wandern Tourenski Mountainbike Einrad Slackline Klettern

Marokko Tourenski Atlas-Gebirge Toubkal 4165m

Tadschikistan Trekking Fan-Gebirge Chimtarga 5489m

[zurück zur Übersicht]

Reise Welt

   

Reise Welt 1

Reise Welt 2

Reise Welt 3

Reise Welt 4

Reise Welt 5

Reise Welt 6

   

[zurück zur Übersicht]

African / Orient Instruments

Donso Ngoni (Mali), 2 Balafon: Salzburg, ARGE, "Kakilambe", Harald Bernie Georg

Flute Rababa (Egypt) Daf (Iran): Salzburg, ARGE, "Kakilambe", Anselm Harald Georg

Vina (South India): Salzburg, ARGE, "Kakilambe"

Marovany (Madagascar): Salzburg, ARTE, "Kakilambe", Harald

Valiha (Madagascar): Salzburg, ARTE, "Kakilambe", Anselm Harald

Kora: Guinea Bissau, Gabu

Fujara (Slowakei, Swolen): Udo, Leonard, Harald

Saz / Baglama (Türkei): Salzburg, SN

Sintir (Morocco) Setar (Iran): Deutschland, München - "Sufi Ahura", Mohammad Eghal

Mvet (Cameroon): Salzburg

Italien, Genova, Festival di Poesia - "Ahura", Mohammad, Christa, Erwin, Georg, Harald, Rashmi Bhatt

Sintir: Salzburg, ARTE, "Kakilambe", Peter Georg Kofi Bernie Harald

Kora: Senegal, Casamance

Clarette Kora Dombak (Iran): Salzburg, SN, Erwin Harald Georg

2 Sax, Kamale Ngoni (Burkina Faso): Salzburg, Papagenoplatz, Robert Peter Harald

Kora: Steiermark, Graz, Keba Cissokho

Kora: Kreta, Choudseti, Ballaké Sissoko

Kora: Kärnten, Gmünd, Pankratium "Haus des Staunens"

Kora: Mali, Bamako, Toumani Diabaté

Ngoni: Mali, Bamako, Baini Cissoko

Sintir (Morocco): Salzburg, Oval, "Affenbrot"

      

[zurück zur Übersicht]

www.kora-music.com

West African Kora Music and Jaliya Culture

JALIYA 4.1.1

@ 2022

archive & learning  for African instruments


Kora: Harald Loquenz (Loké), Hotel Bellevue, Mallnitz, Kärnten, Austria

       

[zurück zur Übersicht]

TIA - STROKE - Schlaganfall

CDK Doppler Klinik: Juni 2011 - September 2021

      

[zurück zur Übersicht]

JALIYA Africa Music Gallery

 

10 Jahre, Programmierer wieder arbeiten

 

      

[zurück zur Übersicht]

Salzburg Dult Pfingsten 1.6.2022

11 Jahre nach Synapse (Nervenzelle) wachsen: erstmal fliegen

"Bungee Jump" - Frei Fall Turm

 

      

      

[zurück zur Übersicht]

Unfall 1.12.2024 - 31.1.2025

 

Treppe bis Heft "Lucy" gestürzten

12cm Nagel im Oberschenkel

 

Doppler Klinik 2 Monaten,

Rollstuhl,

Taurus-Rollator,

4-Punkte-Stock,

normal 1-Punkt-Stock

 

      

      

      

Unfall 3.7.2025

 

Pölla Hütte schaut 0:00 Uhr ins Spektiv 40x (Fernrohr)

Sterne nahe

 

gestürzten Schulter und Rippe

 

      

      

      

[zurück zur Übersicht]